Irreversible Elektroporation
IRE – NanoKnife
„Problemlöser“ bei Lymphknoten- und Knochenmetastasen – nicht nur bei Prostatakrebs
Lymphknoten-, Knochen- und Organmetastasen sind treten bei vielen malignen Erkankungen im fortgeschrittenen Stadium auf.
Sie stellen Tumorzellhaufen von Millionen Krebszellen dar, die sich außerhalb des Primärtumors im Körper angesiedelt haben und über eine eigene Blutversorgung verfügen, indem Sie Gefäße ausgebildet und Anschluß an das Gefäßsystem des Patienten gefunden haben.
Wie entstehen Metastasen?

– Früherkennung
– Überwachung
– Nachweis von Resistenzmutationen
Tumore, die ja selbst eine Blutversorgung benötigen, haben Anschluß an den Blutkreislauf ihres „Wirtes“, des Patienten. Über die Blut- und Lymphgefäße gelangen Tumorzellen, die mobil sind, in den Blutkreislauf. Sie können dort als zirkulierende Tumorzellen (CTC -Circulating Tumour Cells) und anhand ihres genetischen Materials nachgewiesen werden. Die Nachweismethode wird Liquid Biopsy genannt.
Die zirkulierenden Tumorzellen können sich an die Innenwand von Gefäßen anlagern und dann aktiv die Gefäßwand durchwandern. Außerhalb des Gefäßes nisten sich diese Tumorzellen in Bindegeweben ein und können dort von wenigen Tagen bis viele Jahre überleben. Diese einzelnen, im ganzen Körper verstreuten Tumorzellen, sind bisher diagnostisch nicht nachweisbar, auch mit den besten bildgebenden Methoden nicht.
Vorausgesetzt die einzelne Tumorzelle überlebt lange genug die Angriffe des körpereigenen Abwehr/Immunsystems, kann diese, auf bestimmte, bisher nicht vollständig verstandene Reize hin, beginnen sich zu vermehren. Wenn es dem dann noch kleinen Tumorzellhaufen (Mikrometastase) gelingt, Gefäße auszubilden und Anschluß an das Gefäßsystem des Patienten zu finden, kann es ihm gelingen, zu einer Metastase heranzuwachsen, die dann auch bildgebend (MRT,PET) nachzuweisen ist.

Warum sind Metastasen gefährlich?
Wie auch der Primärtumor wachsen Metastasen durch Vermehrung der Tumorzellen. Während normale Zellen sich aufhören sich zu teilen wenn sie von benachbarten Zellen umgeben sind, haben Tumorzellen dieses normale „Sozialverhalten“ von Zellen verloren. Sie teilen sich unaufhörlich weiter und zerstören benachbarte anatomische Strukturen durch Druck oder indem sie in diese einwachsen. Damit haben Metastasen das Potential, wichtige körpereigene Strukturen (Gefäße, Nerven, Knochen, etc.) und Organe (Leber, Lunge, Gehirn, etc.) zu zerstören.
Oft versterben Patienten mit Tumorerkrankungen jedoch nicht an der Folge solcher Organzerstörungen, sondern an der schieren Tumormasse. Denn Tumorzellen werden von körpereigenen Immunsystem als körperfremd erkannt und vom Immunsystem bekämpft. Wird die Tumormasse zu groß, erschöpft sich das Immunsystem an der Bekämpfung der Tumorzellen und die Patienten versterben dann oft an banalen Infektionen, die das völlig erschöpfte Immunsystem nicht mehr kontrollieren kann.
Tumormassenreduktion
Der Schlüssel zu längerem überleben bei Tumorerkrankungen
Werden bei einem Krebspatienten durch engmaschige bildgebende Diagnostik (CT – Computertomographie, MRT – Magnetresonanztomographie, PET – Positronen-Emissions-Tomographie) die im Körper an verschiedenen Stellen wachsenden Tumorknoten – sogenannte Metastasen – identifiziert und dann gezielt fokal zerstört, leben diese Patienten länger ais Patienten, bei denen bei einer vorhandenen Metastasierung nur eine systemische antihormonelle oder Chemotherapie durchgeführt wird.
Die fokale Zerstörung von Metastasen kann auf unterschiedlichste Weise erfolgen. Das Prinzip der Tumormassenreduktion ist daher ein wichtiger Schlüssel zum längeren Überleben von Krebspatienten.
Fokale
Tumormassenreduktion
mit Irreversibler
Elektroporation (IRE)
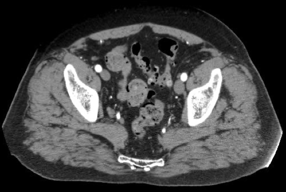
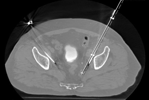
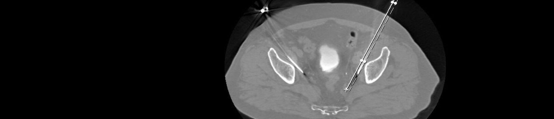
Zeigt die Bildgebung, daß nur eine oder wenige Lymphknotenmetastasen vorhanden sind, können diese, meist CT-gesteuert, durch das Einbringen von Instrumenten in über die Haut (perkutan) in den Lymphknoten zerstört – abladiert – werden.
Im VITUS Postata Center nutzen wir dazu ein Infrarot-Guidance System (Cascination, Schweiz), das es ermöglicht, in virtueller Realität den Patienten und seine Organe zu sehen und die für die Ablation benötigten Instrumente millimetergenau in der Metastase zu platzieren. Damit lassen sich auch schwierige Zugänge zu tief im Körper liegende Metastasen navigieren, ohne Gefäße, Nerven oder Organe zu verletzen.





Die Abbildungen zeigten CT und MRT-Scans eines Patienten mit Lymphknotenmetastasen bei einem Prostatakarzinom. Der Patient hatte sich einer Hormonentzugstherapie (ADT Androgen-Deprivations-Therapie) unterzogen, die nicht mehr wirkte. Der PSA-Spiegel war auf 8,65 ng/ml angestiegen. Die Lmyphknotenmetastasen (MRT-Bild rechts oben, Pfeile) sind tief im Becken im Bereich der großen Beckengefäße (Iliakalgefäße) und direkt neben den Ischiasnerven (Nervi ischiadici) lokalisiert. Das Bild rechts oben zeigt die Einbringung der Elektroden in die Lymphknoten im Computertomographen mit Hilfe des infrarotgesteuerten virtual Reality Systems Cascination. Das CT-Bild links unten zeigt die Elektroden in ihrem Verlauf von der Bauchwand bis in die metastasenbefallenen Lymphknoten. Das MRT-Bild rechts unter zeigt das Ergebnis fünf Monate später: Die Lymphknotenmetastasen sind vollständig verschwunden, der PSA-Spiegel sank auf 0,06 ng/ml ab.
Behandlung von
Knochenmetastasen mit
Elektro-Chemo-Therapie
(ECT)
Minimalinvasiv und knochenschonend
Bei Knochenmetastasen, die durch ein Prostatakarzinom verursacht sind, werden Patienten meist mit einer Hormonentzugstherapie (ADT Androgen-Deprivations-Therapie) behandelt. Diese zerstört die Knochenmetastasen jedoch nicht, sondern unterdrückt sie nur, in den meisten Fällen für 2 – 3 Jahre. Danach wachsen die Metastasen weiter. Die Bestrahlung von Knochenmatastasen zerstört nicht nur die Knochenstruktur, sondern auch das blutbildende Knochenmark und kann zu erheblichen Nebenwirkungen wie einem Mangel an roten und weißen Blutkörperchen mit erhöhtem Infektionsrisiko führen.
Eine sanfte Behandlung von Knochenmetastase ist mit Hilfe der sogenannten Elektro-Chemo-Therapie möglich. Dabei werden, wie bei der IRE, Elektroden in die Knochenmetastasen eingebracht. Anstatt die Zellen durch Stromstöße wie bei der IRE direkt zu zerstören, werden bei der ECT durch sanftere elektrische Pulse Poren in den Zellmembranen erzeugt. Wird gleichzeitig das Zellgift Bleomycin verabreicht, dringt dies vorzugsweise in die durch Elektroporation geöffneten Zellen ein, und tötet diese ab. Zellen außerhalb des Elektroporationsfeldes nehmen das Chemotherapeutikum nur schlecht auf und werden nicht oder nur wenig geschädigt. Die Knochenstruktur wird bei dieser Art der Behandlung von Knochenmetastasen nur wenig bis gar nicht beschädigt. Insbesondere ist eine vollständige Ausheilung des Kochens nach Destruktion der Metastase(n) möglich, was bei einer Strahlentherapie des Knochens nicht der Fall ist.
Andere Verfahren zur Tumormassenreduktion
Bei Lymphknoten-, Knochen- und Organmetastasen: Cyberknife
Ist eine Einbringung der Elektroden zur Zerstörung der Metastasen durch die Haut nicht möglich, kann eine Bestrahlung mit dem CyberKnife eingesetzt werden. Diese radio-chirurgische Methode ermöglicht es Metastasen zielgenau auch an Stellen im Körper zu erreichen, die perkutan nicht erreicht werden können, z.B. weil großer Gefäße, Nerven oder Darm einen sicheren Zugang unmöglich machen.
Bei einer ausgedehnten Metastasierung, bei der eine lokale Tumormassenreduktion nicht mehr möglich ist, oder bei komplexer Struktur der Metastasen, z.B. im Beckenknochen, kann eine Behandlung mit der Lutetium177 PSMA-Radiologandentherapie eine systemische Tumormassenreduktion bewirken.
Lassen Sie sich beraten.
Vereinbaren Sie einen Termin mit einem unserer medizinischen Experten.
- Tumormassenreduktion verlängert die Überlebenszeit bei Krebserkrankungen
- IRE und ECT ermöglichen die Zerstörung von Metastasen in Lymphknoten, Knochen und Organen ohne wesentliche Nebenwirkungen auf sensible anatomische Stukturen wie Gefäße, Nerven und die Knochenstruktur
- Die wiederholte Anwendung von Tumormassenreduktion, insbesondere beim Prostatakarzinom, kann die primär tödliche Krebserkrankung in eine primär chronische Erkrankung umwandeln
- Durch effektive Tumormassenreduktion kann die Hormondeprivationstherapie (ADT, Androgendeprivationstherapie) hinausgeschoben werden, da sie in den meisten Fällen nur 2 – 3 Jahre wirksam ist und mit massiven Nebenwirkungen verbunden ist; die ADT steht damit zu einem späteren Zeitpunkt zur Verfügung, wenn auf Grund einer zu großen Anzahl von Metastasen eine effektive Tumormassenreduktion mit anderen Mitteln nicht mehr möglich ist
- Wiederholte Tumormassenreduktion mit IRE und ECT löst bei jeder Behandlung sekundäre Immuneffekte gegen Krebszellen aus, die die körpereigene Abwehr effektiver im Kampf gegen die Krebserkrankung macht