NanoKnife
Eine Revolution in der Behandlung von Prostatakrebs
Männer, bei denen Prostatakrebs festgestellt wird, werden von ihrem Urologen meist vor die Wahl gestellt, die Prostata chirurgisch entfernen zu lassen (radikale Prostatektomie – RPE) oder sich einer Bestrahlung zu unterziehen (Radio-Therapie – RT). Beide Verfahren sind mit erheblichen Nebenwirkungen belastet: Impotenz und Inkontinenz sind die Regel.
Dabei garantieren sie keinesfalls eine Heilung: Meist kommt der Prostatakrebs nach OP oder Bestrahlung wieder, denn diese sogenannten Rezidive sind bei Prostatakrebs sehr häufig.
Irreversible
Elektroporation (IRE)
NanoKnife-Behandlung:
Hohe Wirksamkeit, wenig Nebenwirkungen
Das hat sich seit der erfolgreichen Einführung der Irreversiblen Elektroporation (IRE) zur Behandlung von Prostatakrebs geädert.
Mit IRE kann Prostatakrebs fokal zerstört werden, mit einer geringeren Wahrscheinlichkeit für Nebenwirkungen.
Das breite Spektrum der
IRE -Behandlungen:
Von der fokalen Therapie bis zum Problemlöser bei inoperablen T4-Karzinomen
IRE – auch unter dem Produktnamen NanoKnife bekannt – ermöglicht die schonende Behandlung von Prostatakrebs unter Vermeidung von Impotenz und Inkontinenz.
Mit IRE kann die gesamte Bandbreite von Prostatakarzinomen behandelt werden – vom kleinen fokalen Karzinom bis hin zu T4-Tumoren, die bereits die Blase oder den Enddarm infiltriert haben – also inoperable, meist fortgeschrittene Fälle1.
Rufen Sie uns unter 069 50 50 00 980 jetzt an oder nehmen Sie per Kontaktformular Kontakt auf
Unsere wichtigste
Botschaft: Lassen Sie sich nicht zu einer Behandlung drängen.
Bei VITUS informieren wir Sie ausführlich über alle Behandlungsoptionen
Prostatakrebs schreitet oft langsam voran. In den meisten Fällen haben Sie ausreichend Zeit, sich über alle Behandlungsmethoden zu informieren. Außerdem verlängert die klassische „radikale” Therapie (Operation und/oder Strahlenbehandlung) bei gering aggressiven Prostatakarzinomen die Lebenserwartung nur selten – und bei hochaggressiven Karzinomen nach den vorliegenden Statistiken bei vielen Männern auch nicht. Gleiches gilt für die Strahlentherapie.
Gleichzeitig führen die klassischen Behandlungen vorwiegend zu schwerwiegenden Nebenwirkungen, selten zur Heilung: Bei 70 – 80% aller Männer tritt nach der OP eine Erektionsstörung auf, bei ca. 20 bis 50% der Patienten eine Harninkontinenz: Bei ca. 20 % der Männer eine schwere Inkontinenz, bei der mehrere Windeln pro Tag benötigt werden, bei zusätzliche 30% eine mäßige Inkontinenz, bei der eine Windel pro Tag ausreicht (siehe Tabelle 1).
RT
3,2%
4,4%
9,4%
RT
60,8%
71,9%
93,9%
Darmfunktion
RT
34,0%
31,3%
35,8%
Tabelle 1: Langzeitfolgen der Radikalen Prostatektomie (RPE) und Radiotherapie (RT) von Prostatakrebs bezüglich Inkontinenz, Impotenz und gestörter Darmfunktion. Tabelle übersetzt ins Deutsche. Resnik MJ, Koyoma T, Fan K-H, et al. N Engl J Med 2013; 368:436-45.
Irreversible Elektroporation (IRE):
Das NanoKnife-Verfahren
Das NanoKnife Gewebeablationsverfahren ist eine neuartige, immerhin aber schon über 10 Jahre alte Therapie, die die Methode der Irreversible Elektroporation (IRE) verwendet, um Zellen zu zerstören. Das umgebende Gewebe wird dabei nicht verletzt. Prostatakrebs kann mit dieser Methode erstmals so behandelt werden, dass die Kontinenz erhalten bleibt und nur ein geringes Risiko für eine Impotenz entsteht. Außerdem hat das NanoKnife-Verfahren eine sehr geringe Wahrscheinlichkeit für Schmerzen oder Narbenbildung.
Hier bei VITUS sind wir stolz auf unsere Pionierarbeit, die wir mit dem NanoKnife-Verfahren geleistet haben. Wir gehören zu den weltweit führenden Experten im Einsatz von IRE in der Behandlung von Prostatakrebs.
Durch unsere enge Zusammenarbeit mit dem Erfinder der IRE für medizinische Zwecke, Prof. Boris Rubinsky von der Universität Berkeley in den USA, hatten wir die Möglichkeit, IRE in allen Stadien der Entwicklung, vom Labor über Tierversuche bis zur Anwendung am Menschen zu untersuchen und zu verstehen. Unsere Physiker und Ärzte gehören damit zu den Pionieren und weltweit führenden Experten für Elektroporationsverfahren – sowohl im wissenschaftlich-technischen Bereich als auch im klinischen Einsatz.
VORTEILE DER
NANOKNIFE-BEHANDLUNG
IM ÜBERBLICK:
- Einmalige Behandlung an nur einem Tag
- Höchste bisher erreichte Potenzerhaltungsrate*
- Statistisch 0% Inkontinenz**, ***
- Keine operativen Schnitte
- Keine Nachbehandlung nötig
- Keine höhere Rezidivrate als radikale Verfahren**
- Behandlung selbst nach Prostatektomie oder Strahlentherapie
- Sekundäre immunologische Effekte
* Bei der sogenannten Harninkontinenz handelt es sich um die mangelnde oder fehlende Fähigkeit des Körpers, den Blaseninhalt sicher zu speichern und selbstbestimmt zu entleeren. Dies führt zu unwillkürlichem Urinverlust. Während es mehrere mögliche Definitionen für Inkontinenz gibt, kommt eine Langzeitstudie zu Inkontinenz nach Prostatektomie** zu dem Schluss, dass eine sinnvolle Definition von Inkontinenz ist, wenn ein Patient 12 Monate nach einer Prostataoperation 2 oder mehr Einlagen pro Tag benötigt.
** Sacco E, Prayer-Galetti T, Pinto F, et al. Urinary incontinence after radical prostatectomy: incidence by definition, risk factors, and temporal trend in a large series with a long-term follow-up. BJU Int. 2006;97:1234–41.
*** Syan, Raveen, and Victor W. Nitti. „Post-prostatectomy Incontinence Initial Evaluation.“ Urinary Dysfunction in Prostate Cancer. Springer, Cham, 2016. 15-30.
NanoKnife-Technologie – ideal für die Behandlung von Prostatakrebs
Das NanoKnife-Verfahren basiert auf ultrakurzen Impulsen, die starke elektrische Felder erzeugen. Die Impulse sind 100 Mikrosekunden lang – also 0,0001 Sekunden. Im Vergleich zu den Standardverfahren verfügt diese neue Technologie über einzigartige Eigenschaften, durch die sie sich ideal für die Behandlung der Prostata eignet.
- Gewebeselektivität: Nur Zellen, die eine Zellmembran haben, wie Krebszellen, werden zuverlässig zerstört. Alle anderen Strukturen, wie Nerven, Blutgefäße und Bindegewebsstrukturen bleiben dabei erhalten.
- Ultrascharfe Kanten: Mit NanoKnife lässt sich der Bereich zwischen vollständig entferntem und unbehandeltem Gewebe in Mikrometern messen. Damit hebt sich NanoKnife von anderen Behandlungsmethoden, wie Strahlentherapie, hitze-basierten Behandlungen und sogar Operationen, deutlich ab. Bei diesen Methoden ist das zentrale Behandlungsfeld immer von einem Bereich umgeben, in dem das Gewebe ungewollt geschädigt wird. Oft ist das eine Zone mit einem Durchmesser von mehreren Zentimetern.
- Programmierter Zelltod: NanoKnife führt dazu, dass der Zelltod (Apoptose) eintritt, ohne dass es zu Strahlenschäden oder Verbrennungen kommt und sich Narben bilden. Bei den derzeitigen Standardmethoden, wie Strahlentherapie (Protonentherapie, Brachytherapie, usw.) und Wärmetherapie (HIFU, Mikrowellentherapie, usw.), entsteht immer ein großer „toxischer“ Bereich, denn das verbrannte Gewebe ist für den Körper giftig. Die Folge sind Entzündungen und Schmerzen mit anschließender Narbenbildung. All das verhindert oder schränkt weitere Behandlungen ein, die im Falle eines Rezidivs nötig werden könnten.
- Beliebig oft wiederholbar: Da die IRE-Behandlung nicht zu langfristigen Gewebeschäden führt, können alle anderen Behandlungsmethoden (Strahlentherapie, Wärme, Operation) auch nach einer NanoKnife-Behandlung weiterhin uneingeschränkt durchgeführt werden. Außerdem kann die Behandlung mittels IRE so oft wie nötig wiederholt werden.
- Schmerzfrei und minimalinvasiv: Denn es wird kein Gewebe durch Verbrennung oder Strahlung geschädigt. Außerdem kommen als invasive Instrumente nur dünne Nadeln zum Einsatz. So bemerken unsere Patienten die Behandlung in der Regel kaum.
- Schnell und in einer Sitzung: Sogar ausgedehnte Bereiche können unter Vollnarkose häufig in nur einer Sitzung behandelt werden.
- Große Bandbreite an Einsatzmöglichkeiten: Die Behandlung von kleinen, früh entdeckten Prostatatumoren ist auf jeden Fall die einfachste Anwendung von NanoKnife. NanoKnife ist aber auch eine Behandlungsoption bei inoperablen Karzinomen, die die Prostatakapsel bereits durchbrochen haben, sowie für die Behandlung von Rezidiven, die nach einer Strahlentherapie, radikalen Prostataentfernung, HIFU oder Brachytherapie auftreten.
- Immunsystem: Die Tumorfragmente, die während der NanoKnife-Behandlung freigesetzt werden, unterstützen das Immunsystem der Patienten dabei, weitere Tumoren zu bekämpfen.
Die Präzision ist
entscheidend für den
Therapie-Erfolg mit NanoKnife
Seit 2007 ist die IRE-Technik durch die FDA in den USA und die CE-Kennzeichnung in Europa zugelassen. Dies erfolgte, weil entsprechenden Studien belegen, dass sämtliche Zellen innerhalb des Behandlungsbereiches mit dieser Methode abgetötet werden können. Um das zu erreichen und eine erfolgreiche IRE-Behandlung durchzuführen, sind zwei Faktoren entscheidend:
- Erstens:
Die exakte Position des Tumors muss vor der Behandlung bekannt sein. - Zweitens:
Das Behandlungsfeld muss genau an der richtigen Position platziert werden.
Die erste Bedingung wird durch eine Multiparameter-MRT-Untersuchung, eine 3D-Biopsie und, wenn nötig, weitere Verfahren erfüllt. Die zweite Bedingung wird durch einen minimalinvasiven Eingriff unter Vollnarkose erfüllt. Dabei werden sterile Nadeln mit variabler Expositionslänge eingeführt. „Expositionslänge“ bezieht sich auf den Bereich der Nadel, der das Gewebe mit elektrischem Strom in Kontakt bringt. Mit diesem Verfahren haben wir bereits seit 2011 Erfahrung und haben weltweit die meisten Prostatabehandlungen durchgeführt. Damit gehören wir zu den führenden Experten weltweit, während andere Kliniken gerade erst am Anfang stehen.
Rufen Sie uns unter 069 50 50 00 980 jetzt an oder nehmen Sie per Kontaktformular Kontakt auf
Wie ist der Ablauf einer NanoKnife-Behandlung?
Dieser Schritt ist vielleicht der wichtigste. NanoKnife ist eine fokale, bildgestützte Behandlung, deren Ergebnisse nur so gut sind, wie die vorausgehende Planung und Diagnostik. Denn NanoKnife selbst erkennt nicht, wo der Krebs sitzt.
Als Patient sollten Sie keine Kompromisse bei der Diagnostik eingehen. Alle Varianten des Ultraschalls (einschließlich Elastographie und kontrastmittelverstärkter Ultraschall) wie auch rektale Stanzbiopsien weisen erschreckend niedrige Erkennungsraten auf. Es ist sehr unwahrscheinlich, dass damit (alle) Tumore gefunden werden.
Zum jetzigen Zeitpunkt bieten nur Multiparameter-MRTs, die von spezialisierten radiologischen Instituten durchgeführt werden, eine adäquate bildgebende Diagnostik – bei Bedarf zusammen mit einem PSMA/Cholin-PET/CT.
Die 3D-Aufnahmen aus der MRT erhalten durch eine 3D-Sättigungsbiopsie noch eine weitere Ebene. Wir sind auf beide Verfahren spezialisiert. Beide sind erforderlich, um die Genauigkeit bei der Diagnostik zu erzielen, die notwendig ist, damit die NanoKnife-Behandlung wirksam durchgeführt werden kann.
Haben unsere Ärzte und Physiker den Zielbereich einmal mit Hilfe der MRT-Querschnittsbilder bestimmt und ihn, wenn nötig, mittels von uns entwickelter 3D-Simulationen vorab berechnet, wird der Zielbereich gespeichert und am Tag der Operation auf den Operationsmonitor übertragen.
Für die Behandlung der Prostata werden die Nadeln transperineal, also durch den Damm (den Bereich zwischen Genitalien und Anus), eingeführt. Ein endorektaler Ultraschall hilft bei der Platzierung. Hierbei spielt Erfahrung eine entscheidende Rolle. Bereits zwei Nadeln stellen hohe Anforderungen an das räumliche Vorstellungsvermögen des Operateurs. Platzierungen mit vielen Nadeln sind eine extrem große Herausforderung. Das liegt daran, dass die Prostata ein relativ kleines Organ mit einer komplexen Geometrie ist, umgeben von vielen sensiblen anatomischen Strukturen. Darüber hinaus sind die Positionierungsmöglichkeiten der Nadeln sehr eingeschränkt. Dieser Prozess kann mitunter mehreren Stunden dauern, obwohl uns hier im VITUS Prostata Center Computerprogramme dabei unterstützen, die perfekte Platzierung zu erreichen.
Abbildung 1: Minimal-invasive NanoKnife Elektrode
Sobald die Nadeln präzise platziert sind, wird ihre Position per Ultraschall gemessen und an die NanoKnife-Software und weitere externe Software weitergegeben. Der Bereich, der behandelt werden soll, kann am Computer immer noch durch verschiedene Parameter wie Spannung, Impulsdauer und Pulszahl angepasst werden. Wenn alle Einstellungen mit der Geometrie von Prostata und Tumor übereinstimmen (dabei wird immer ein Sicherheitsbereich um den Tumor herum eingeplant), lädt NanoKnife seine Kondensatoren.
Zwischen jedem Set bestehend aus je zwei Nadeln baut sich eine Potenzialdifferenz auf. Diese liegt normalerweise bei 3000 Volt (V). Das bedeutet, auf Nadel 1 liegen +1500 V und auf Nadel 2 -1500 V. Der Patient bleibt auf 0 V. Diese Spannungen mögen eher lebensgefährlich als schonend erscheinen, ihre Wirkdauer liegt jedoch im Bereich von millionstel Sekunden. Dadurch ist das Verfahren sicher und Nebenwirkungen wie Verbrennungen werden vermieden. Für Näheres über die Technologie und die Theorie dahinter, lesen Sie hier mehr über die Theorie der IRE.
Die Anzahl der Nadeln kann variieren und hängt stark davon ab, welcher Bereich behandelt werden soll. Der Computer des NanoKnife-Systems übernimmt die passende Steuerung der Nadeln, entsprechend der vorherigen Einstellungen. Die Behandlung selbst dauert in der Regel nur Sekunden, höchstens wenige Minuten.
Abbildung 2: Präzise Planung einer IRE-Behandlung
Direkt nachdem die Nadeln herausgezogen wurden, verschließen sich die Einstichstellen wieder. Die meisten Patienten haben keine Schmerzen. Manche empfinden den Blasenkatheter, der vor der Behandlung gelegt wird, jedoch als unangenehm. Er kann nach 10 bis 14 Tagen entfernt werden. Auch noch einige Wochen später kann es vorkommen, dass sich kleinere Mengen Blut im Urin oder der Samenflüssigkeit finden. Das liegt daran, dass der Körper bis zu sechs Monate braucht, um das Gewebe, welches durch die NanoKnife-Ablation zerstört wurde, aus dem Körper zu transportieren.
Wie gut ist die IRE
im Vergleich zur
radikalen Prostatektomie (RPE):
Auswertung der Resultate aus 471 IRE-Behandlungen
Während wir im VITUS Prostate Center zwischenzeitlich fast 1500 Männer mit Prostatakrebs erfolgreich behandelt haben (Stand März 2023) haben wir die Ergebnisse von 471 IRE-Behandlungen über einen maximalen Beobachtungszeitraum von 7 Jahren veröffentlicht².
Tabelle 2 zeigt, daß die von uns behandelten Patienten mehrheitlich unter Prostatakrebs mit hohem Risiko gemäß der D’Amico Klassifikation litten.
Tabelle 2
Die meisten Karzinome waren im Stadium T2a bis T2c, also innerhalb der Prostata und hatten die Prostatakapsel noch nicht (makroskopisch) durchbrochen („organ confined disease“). Allerdings wurden auch 84 Patienten mit T3 und T4 Karzinomen behandelt, also Karzinomen die die Prostatakapsel bereits durchdrungen und sich außerhalb der Prostata ausgebreitet hatten („non-organ confined disease“). Unsere Behandlungserfolge zeigen eindeutig, daß die IRE nicht nur zur Behandlung früher, kleiner Karzinome sondern zur Behandlung fortgeschrittener Karzinome geeignet ist.
T4 N0 M1 /
T4 N1 M1
Tabelle 3
Während des Beobachtungszeitraumes von 70 Monaten traten bei Patienten mit niedriggradigen Gleason 6 Karzinomen lediglich 4 Rezidive auf, bei Patienten mit mittelgradigen Gleason 7 Karzinomen 15 Rezidive und in der Patientengruppe mit hochgradigen Gleason 8 – 10 Karzinomen 22 Rezidive. Ein Vergleich mit den Rezidivraten nach radikaler Prostatektomie (RPE), wie sie in den Han Tables der Johns Hopkins Universität spezifiziert sind, zeigt, daß die Rezidivraten nach IRE vergleichbar hoch sind wie nach RPE.
Rezidivraten nach
IRE-Behandlung
(NanoKnife)
Vergleichbar mit Rezidivraten nach radikaler Prostatektomie
Wie kann das sein? Nach der radikalen Entfernung der Prostata sollte der Krebs doch vollständig aus dem Körper entfernt sein. Aber das ist nicht so.
Wenn man sich die HAN Tables genauer anschaut, stellt man fest, daß die Rezidivraten nach radikaler Prostatektomie auch dann hoch sind, wenn der Tumor zusammen mit der Prostata komplett entfernt wurde (Kategorie „organ-confined disease“). Woher kommen dann die Rezidive in diesen Fällen? Sie stammen von einzelnen Tumorzellen ab, die entlang von Bindegewebsstrukturen, Lymph- und Blutgefäßen aus der Prostata heraus migriert sind und sich in dem die Prostata umgebenden Bindegewebe eingelagert haben. Tatsächlich zirkulieren die Tumorzellen auch im Blut und können dort mittels einer Liquid Biopsy nachgewiesen werden.
Die Prostatakapsel ist nämlich durchlässig für Zellen, da sie nur aus verdichteten Bindegewebsfasern besteht. Das kann man sich in etwa vorstellen, wie ein Waldrand: Aus 1 km Entfernung sieht der Waldrand aus wie eine Mauer, wenn man direkt davorsteht, bemerkt man, daß er hauptsächlich aus Luft besteht, mit ein paar Ästen und Baumstämmen dazwischen. Dementsprechend entstehen die meisten Rezidive nach Prostatektomie im Bindegewebe, das die Prostata umgab – und nach der Entfernung der Prostata die Prostataloge umgibt.
Jede Prostatakrebsbehandlung ist also genau genommen nur eine Tumormassenreduktion – die Zerstörung oder Entfernung der Tumormasse IN der Prostata. Tumorzellen AUSSERHALB der Prostata verbleiben im Körper. Dies können vom körpereigenen Immunsystem abgetötet werden. Der Patient ist dann geheilt – durch sein eigenes Immunsystem.
Deshalb ist es nicht allzu verwunderlich, dass die Rezidivraten nach einer IRE-Behandlung den Rezidivraten nach Prostatektomie und Strahlentherapie vergleichbar sind.
Tabelle 5 zeigt die Anzahl der Rezidivtumore im Beobachtungszeitraum von maximal 70 Monaten in den verschiedenen Gleason Score Gruppen bei 471 in der VITUS Privatklinik durchgeführten IRE-Behandlungen. Wie zu erwarten traten die meisten Rezidive in der Gruppe der aggressiven Prostatakarzinome (Gleason 8 -10) auf. Weniger Rezidive traten in der Gleason 7 Gruppe auf, die wenigsten in der Gleason 6 Gruppe.
Anzahl der Rezidivtumore, insgesamt N = 41/429, bei max. 70 Monaten Follow-up
Tabelle 4

Die Graphik in Abbildung 1 zeigt die Kaplan-Meier Kurven der 471 im ausgewerteten IRE-Behandlungen. Die Kaplan Meier Kurven zeigen die Anzahl der Patienten, die in einem bestimmten Zeitraum nach der IRE-Behandlung ein Prostatakarzinomrezidiv entwickelt haben, wiederum aufgeteilt nach Aggressivität des Prostatakarzinoms: Gleason 6, Gleason 7 und Gleason 8 – 10. Der maximale Beobachtungszeitraum betrug wiederum 70 Monate.
Interessant ist der Vergleich der Rezidivraten der aggressiven Karzinome (rote Kurve) mit den Rezidivraten nach radikaler Prostatektomie (RPE), wie sie den Han Tables der Johns Hopkins University, USA, entnommen werden können (blaue und rosa gestrichelte Linien). Der Vergleich wurde mit Daten von Patienten mit vergleichbarem Tumorstadium und Gleason Score vorgenommen. Die Rezidivraten nach IRE-Behandlung (rote Kurve) liegen im „Korridor“ der Rezidivraten nach radikaler Prostataektomie – sind also vergleichbar hoch.
Interessant ist auch die Unterscheidung zwischen den unterschiedlichen Lokalisationen der Rezidive: Insgesamt traten nur 8 der 41 Rezidive innerhalb des IRE-Ablationsfeldes auf, 15 dem IRE-Feld direkt angrenzend.
Bei diesen kann von überlebenden Tumorzellen innerhalb oder direkt außerhalb des abladierten Tumorherdes ausgegangen werden. 16 von 41 „Rezidiven“ traten jedoch in Regionen der Prostata auf, die vor der Behandlung als „tumorfrei“ bewertet worden waren und deshalb nicht behandelt worden waren. Es handelte sich also um kleine und kleinste Karzinomherde, die in der Diagnostik nicht aufgefallen waren, hauptschlich bei Patienten, bei denen keine ausführliche Diagnostik vor der IRE-Behandlung durchgeführt worden war: Diese Patienten lehnten eine 3D-Mapping-Biopsie (3DMB) und/oder ein optimales endorektal-MRT und/oder PSMA-PET/CT mit Gallium68 ab. Bei diesen „Rezidiven“ handelt es sich im strengen Sinne also überhaupt nicht um Rezidive, sondern um weitere Tumorherde in der Prostata, die nicht bekannt waren.
Nimmt man diese „Pseudo-Rezidive“ aus der Statistik heraus und berechnet die Kaplan-Meyer Kurven basierend auf den tatsächlichen Rezidiven, werden noch längere rezidivfreie Überlebenszeiten erreich. Dies ist in Graphik X zu sehen: Die Kaplan-Meyer Kurve für rezidivfreies Überleben ist nach oben verschoben (graue Pfeile).

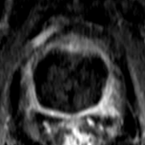
Je Elektrodenpaar wurde eine Ablationszone erzeugt (rote Ellipsen). Im Bild nach Kontrastmittelgabe ist die Ablationszone als avaskuläres Gebiet ohne Blutversorgung deutlich zu erkennen. Der PSA-Spiegel sank von 5,2 ng/ml vor der Behandlung auf 2,3 ng/ml nach der IRE und nicht auf Null, da der rechte Prostatalappen erhalten blieb. Dies ist typisch für fokale Therapien.
IRE bei Prostatakrebs:
Hohe Wirksamkeit – geringe Nebenwirkungen
Die unten stehende Tabelle zeigt Nebenwirkungen, die bei der Behandlung von 471 Prostatakarzinomen im VITUS Prostata Center aufgetreten sind.
Zunächst ist bemerkenswert, daß auf Grund der minimal-invasiven Behandlung keinerlei lebensbedrohliche Nebenwirkungen und keine Todesfälle aufgetreten sind.
Bei ca. 1/5 der IRE behandelten Patienten traten leichte Nebenwirkungen auf (grüne Felder), wie vorübergehende Schwierigkeiten mit dem Wasserlassen (Urinretention), so daß nach Entfernung des ersten Blasenkatheters ein neuer Blasenkatheter eingeführt und für weiter 10 – 14 Tage in der Blase belassen werden mußte. Leichte Beschwerden und/oder Schmerzen beim Wasserlassen (Dysurie) und leichte Blutbeimengungen im Urin (Hämaturie) traten bei ca. 7% bzw. 4% der Patienten auf.
Mäßig starke Nebenwirkungen traten bei nur 2,5 % der IRE behandelten Patienten auf (gelbe Felder). Dabei handelte es sich um Harnwegsinfektionen bedingt durch den Katheter, die mit Antibiotika behandelt werden mußten.
Medizinisch relevante Nebenwirkungen, die jedoch nicht lebensbedrohlich waren, traten bei nur 1,3 % der IRE behandelten Patienten auf (rosa Felder). Dabei handelte es sich um anhaltende Probleme mit dem Wasserlassen, die durch abgestorbenes Tumorgewebe in der Prostata verursacht waren und mittels einer Entfernung des Gewebes über die Harnröhre (TURP) behandelt werden mußten, um eine durch die Behandlung verursachte Fehlverbindung (Fistel) zwischen Enddarm (Rektum) und Prostata, die sponta abheilte, und um eine Perforation der Blase verursacht durch einen Harnblasenkatheter, die sich ebenfalls spontan verschloß.
Nur klinische oder diagnostische Überwachung – keine Behandlung erforderlich
(19,5%)
(9,0%)
(6,7%)
(3,8%)
Minimale, lokale oder nicht-invasive Behandlung indiziert; Einschränkung altersentsprechender Aktivitäten des täglichen Lebens
(2,5%)
(2,5%)
(0,8%)
(0,8%)
(0,2%)
(0,2%)
Dringende medzinische Maßnahmen erforderlich
Tabelle 5
Vermeidung von Inkontinenz
Null Prozent Inkontinenzrate nach IRE-Behandlung bei weit über 1000 Patienten
Inkontinenz ist eine häufige und schwerwiegende Nebenwirkung bei ca. 50% aller Männer, die sich einer radikalen Prostatektomie unterzogen haben – mit oder ohne daVinci Roboter. Die Inkontinenz läßt sich bei der operative Entfernung der Prostata nur schwer vermeiden, da der Blasensphinkter (Schließmuskel, auch lower urinary sphincter – LUS – genannt) direkt unterhalb der Prostata lokalisiert ist und in den Apex, den unteren Teil der Prostata, hineinragt. Wird die Prostata entfernt wird auch ein Teil des Schließmuskels entfernt. Eine weitere Schädigung des LUS erfolgt durch das Annähen des Blasenbodens, der nach der Entfernung der Prostata nach unten gezogen wird und an den Schließmuskel angenäht wird, um den Harnabfluß sicherzustellen.
Bei den bisher mehr als 2000 mit IRE behandelten Patienten trat keine Inkontinenz auf. Diese Tatsache war leicht zu ermitteln, da die behandelten Patienten auch bei nur geringem unwillkürlichen Urinverlust dies sofort berichten. Und tatsächlich kommt es direkt nach der IRE-Behandlung bei einem kleinen Prozentsatz von Patienten zu einer vorübergehenden Inkontinenz, die durch zwei Mechanismen bedingt ist:
- Die Aufweitung des Schließmuskels durch den Katheter, der 10 bis 14 Tage in der Harnblase verbleibt.
- Eine „urge Inkontinenz“, die durch die Reizung der Prostata nach der Tumorzerstörung auftritt (wie z.B. auch bei einer Prostataentzündung) und sich dadurch bemerkbar mach, daß die betroffenen Männer bei voller Blase einen plötzlichen Harndrang verspüren und auf dem Weg zur Toilette Urin verlieren.
Diese Arten von Inkontinenz sind vorübergehend und bilden sich nach wenigen Tagen bis maximal 3 Monaten zurück. Sie haben nichts mit der irreparablen Zerstörung des Schließmuskels zu tun, wie er nach einer Operation auftreten.
Tabelle 6 zeigt unsere veröffentlichten Daten zurm Thema Harninkontinenz:
Tabelle 6
Vermeidung von Erektionsstörungen
Null bis maximal 10% Impotenz nach IRE-Behandlung bei Prostatakrebs
Das neurovaskuläre Bündel (NVB), ein Netzwerk von Nerven und Gefäßen, ist für die Erketionsfunktion des Penis verantwortlich. Es befindet sich größtenteils in- und direkt auf der Prostatakapsel (siehe Abbildung 2) und kann daher weder bei der radikalen Prostatektomie noch bei der Strahlentherapie erhalten werden.
Deshalb sind die tatsächlichen Impotenzraten nach einer herkömmlichen Prostatakrebsbehandlung mit 60 – 90% sehr hoch, auch nach einer sogenannten „nervenschonenden Prostatektomie“. Die Folge ist der Verlust der Erektionsfunktion: Impotenz.

Irreversible Elektroporation (IRE – NanoKnife) als „Problemlöser“ bei inoperativem Prostatakrebs: Rektuminfiltration, Blasenbodeninfiltration, Schließmuskelinfiltration
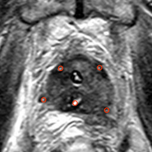
Die Behandlung erfolgte mit 5 Elektroden deren Positionen am Tag nach der Behandlung sichtbar sind (kleine schwarze Kreise). Je Elektrodenpaar wurde eine Ablationszone erzeugt (rote Ellipsen), insgesamt 9 einzelne Ablationszonen. Im Bild nach Kontrastmittelgabe ist die Gesamtablationszone als avaskuläres Gebiet ohne Blutversorgung deutlich zu erkennen.
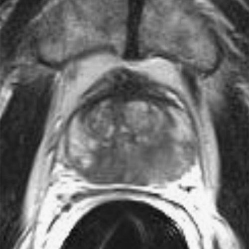
Das Prostatagewebe wurde komplett zerstört, nur die Prostatakapsel ist erhalten, da sie weitgehen aus Bindegewebe besteht, das durch IRE nicht zerstört wird. Der PSA-Spiegel sank, wie nach einer Prostatektomie, auf 0 ng/ml.

PSA 11 ng/ml


PSA 0,0 ng/ml
Die Abbildungen zeigen die Behandlung eines Prostatakarzinoms Stadium T2c, N0, M0, Gleason-Score 8, bei einem 63-jährigen Mann. Das Karzinom hat sich über beide Prostatalappen ausgedehnt. Eine fokale Therapie unter Erhalt wesentlicher Anteile gesunden Prostatagewebes war in diesem Fall nicht mehr möglich.
„Radikale“ Therapie des Prostatakrazinoms mit Irreversibler Elektroporation (IRE – NanoKnife) – Komplettablation der Prostata
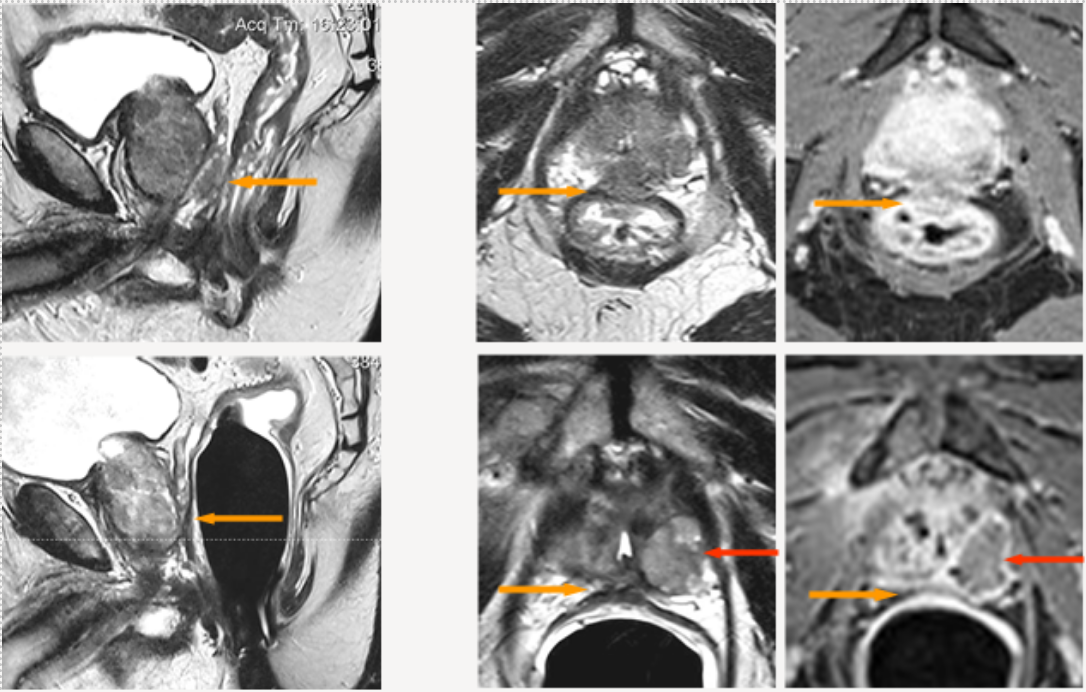
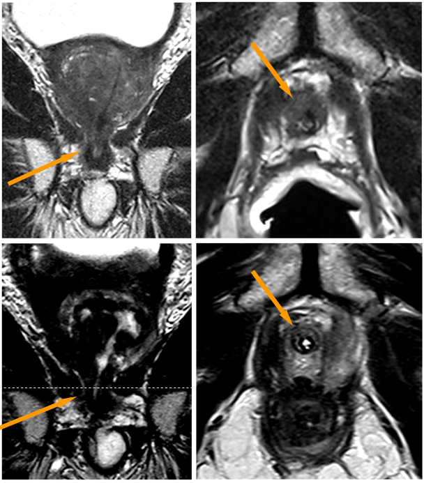
Abbildung 3 zeigt die Behandlung eines Prostatakarzinoms Stadium T4, N0, M0, Gleason-Score 8, bei einem 79-jährigen Mann mit Infiltration des Enddarmes (Rektums; gelbe Pfeile oben). Eine radikale Prostatektomie wäre nur mit zusätzlicher Entfernung des Rektums und Anlage eines künstlichen Darmausganges (Anus praeter) möglich gewesen.
Die Infiltration des Enddarmes ist auf den MRT-Bildern in der oberen Reihe der Abbildung Z abgebildet: Links: seitliche (sagittale) Aufnahme; Mitte: Querschnitt (axiale Aufnahme) mit T2-Wichtung; Rechts: Querschnitt (axiale Aufnahme) nach Kontrastmittelgabe.
Die untere Bildreihe zeigt die Verhältnisse 9 Monate nach der IRE-Behandlung: Die Wand des Enddarmes stellt sich normal, ohne Verletzung und ohne Fistel (Fehlverbindung) zur Prostata dar: Links: seitliche (sagittale) Aufnahme; Mitte: Querschnitt (axiale Aufnahme) mit T2-Wichtung; Rechts: Querschnitt (axiale Aufnahme) nach Kontrastmittelgabe.


Inoperable Prostatakarzinome:
Wegen inadäquater Diagnostik oft nicht erkannt
In der VITUS PRIVATKLINIK haben wir zwischenzeitlich dutzende von Patienten mit inoperablen Prostatakarzinomen erfolgreich und funktionserhaltend behandelt. Wenn Sie unter einem fortgeschrittenen Prostatakarzinom leiden, lassen Sie sich von unseren Experten beraten.
Leider werden inoperable Tumorstadien oft vor dem chirurgischen Eingriff nicht erkannt, da keine ausreichend genaue Diagnostik durchgeführt wurde.
Dies führt entweder dazu, das die OP abgebrochen wird, oder der Tumor inkomplett entfernt wird, in manchen Fällen auch dazu, daß die Blase und der Enddarm zusammen mit der Prostata entfernt werden und u.a. ein künstlicher Ausgang für den Darm und die Blase angelegt werden müssen. In vielen Fällen kann eine solche Katastrophe vermieden werden.